lossse processus coronoideus teckel

osteochondrose bij spaniel van 4 maanden 

losse processus coronoideus  spaniel 4 maanden oud

labrador met ocd tarsus

kat met tumor bovenkaak

windhond met fractuur en luxatie os tarsale centrale

cocker met hernia  c2-c3

Kat met blaas tumor

Keeshond van 5 jaar met een adenocarcinoom in de neus 

beeld na toediening van contrast . Captatie van contrast in tumor 

losse processus coronoideus bij een labrador van 4 jaar

Kat van 11 jaar met bot tumor in de onderkaak

 


keeshond van 5 maanden met een  ernstige patella luxatie . De knieschijf zit permanent aan de binnenzijde van de knie. Het onderbeen heeft een torsie van 58.1 graden ten opzichte van het bovenbeen. Het bovenbeen heeft een kanteling van 29 graden ten opzichte van het kniegewricht.

De scan beelden zijn gebruikt om een operatieve ingreep voor te bereiden.


Boxer van 1 jaar met chronisch manken op de achterpoot. Gezwollen knie, geen schuiflade.

Erge artrose, Beenkern zichtbaar aan mediocaudale rand van de laterale humerus condyl. Suggestief voor partiële loslating (avulsie) van het caudale deel van de voorste kruisband.


Kat met Hyperthyreoïdie  vergrootte schildklier met contrast vloeistof


Kat met hetrsentumor. Aantasting botstructuren. Verplaatsing middellijn. 


Hond met chronische oorontsteking.  Aantasting binnen en middenoor. Bulla tympanica gevuld met massa of vocht. Aantasting van de frontale sinussen . Osteolyse en nieuwbeen vorming.

 


Twee gevallen van een ernstige cervicale discus hernia.


3D beeld van kop van kat met 9 breuken 


Cocker van 10 jaar met chronisch manken op re schouder. Op rx beeld van artrose ? geen duidelijke oorzaak of detail.

Op ct beelden vergelijk links met  rechts, Rechts verkalking van de biceps pees, volledig verkalkte tunnel rond pees , artrose gewricht.


Kat van 6 jaar.

Vermageren en bloed bij urine. Blaassteen, nierstenen en 2 stenen in ureter.

Contrast studie waarbij ,  re nier contrast tot in de blaas loopt en naar de linker nier geen afvoer heeft door obstructie van de ureter door een steen.

u kan een video van deze opname zien op youtube 


Rib tumor bij hond van 3 jaar .


Hond met nier cyste en hernia in de lendenwervel. Schmörsle nodule in het wervel lichaam


Kat met buiktrauma / Gescheurde ureters .Post contrast ,contrast vloeistof ureters loopt in de buik


Aspergilose neus : vernietiging van de conchae rechter neusgat en aantasting botstructuur


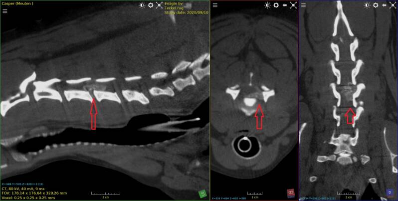
Teckel met discus hernia


Hond met neus tumor , Eenzijdige volledige vernietiging van de conchae; doorbreken tot in sinussen . Boorbraak beelderige structuren neus .

 


kat met voorgeschiedenis van poliepen in buis van Eustachius, middenoor en oorgang. 

Geopereerd in januari en hervallen in mei. Duidelijke aantasting van bulla tympanica en etter subbutaan en in het middenoor.


Engelse bulldog van 5 jaar met parese achterhand.

Discus hernia op overgang L6-L7 en lumbosacraal.


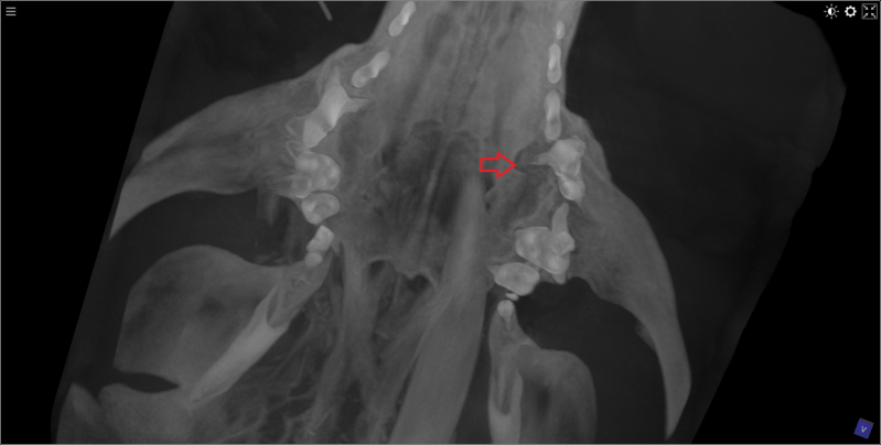
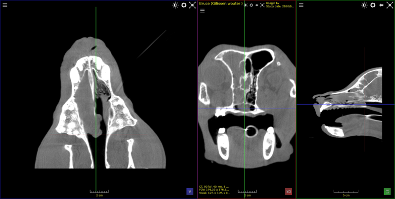
Hond Fila braziliero , van 7 maanden met tandwortel abces .

Gedeelte van het bot rond de tandwortel was aangetast .


Tandverzorging bij de kat : opsporen van  aangetaste wortels en controle na verzorging

 

 


Dalmatier van 11 jaar met verlamming ten gevolge van  discus hernia op de overgang van T13  naar L1.

Eerst beelden van RX,  daarna scan beelden met en zonder contrast , vervolgens 3D beeld.

 


Pincher met de ziekte van Cushing.

2 vergrote bijnieren.

 


Deze kat had een voorgeschiedenis van FLUTD.

Het diertje werd aangeboden met strangurie.

Op de röntgenfoto zijn geen afwijkingen zichtbaar.

Op de Ct-beelden echter is het gruis zichtbaar in de blaas.


Deze Visla van 8 jaar werd aangeboden met een klacht van chronisch manken sinds 1 maand.

Op de scan is een  oud OCD - letsel zichtbaar met een gewrichtsmuis.

Het stukje werd operatief verwijderd.