voorgestelde regio's voor het doorstuur formulier 

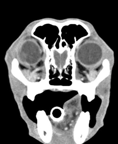
Neus en sinussen. 

Mogelijke afwijkingen: neoplasie, schimmel , aspergilus, vreemd voorwerp, poliep, tandproblemen.  

Tanden en tandwortels.

Mogelijke afwijkingen: tandcyste, tandwortelbreuk, cariës, tandwortel ontsteking, periodontitis, abces , tumor.

 

 

Kop, Onderkaak en bovenkaak. 

Ontsteking en neoplasie.

Evaluatie problemen met kaakgewricht.

 

Oor middenoor bulla tympanica.

 

Evaluatie externe gehoorgang, middenoor en binnenoor.

Otitis media interna, poliepen en tumoren. 

Oogkast , speeksel en traanklieren.

Ontstekingen, abcessen, vreemde voorwerpen, trauma,

tumoren oogbol, retrobulbaire afwijkingen.

 

Hersenen.

Tumoren, bloeding, 

afwijkingen hypofyse.

Beelden best na contrast.

Cervicale wervelkolom,

Slokdarm, luchtpijp, schildklier.

Atlantoaxiale subluxatie, trauma, discospondilitis, degeneratie tussenwerverschijf,

discus hernia, tumoren.

Thoracale wervelkolom.

Lumbale wervelkolom.

Lumbosacrale stenose.

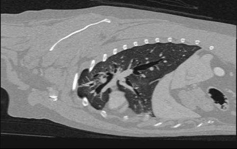
Thoracale regio - borstwand, hart, longen en mediastinum.

Slokdarm vreemd voorwerp, tumor, mediastinum tumor, lymphoma, thymoma

bronchitis, pneumonie, fibrose, longtorsie, oedeem, neoplasie, 

pleurale tumoren, diafragma hernia.

 

Abdominale regio - buik, bijnieren, maagdarmkanaal, nieren, lever, pancreas, milt.

Ectopische urineleider met contrast.

Portosystemische shunt met contrast .

 

 

Bekkengebied - blaas en prostaat.

Individueel onderzoek van de patiënt op basis van diagnostische beeldvormingsstudies, geschiedenis en symptomen 

 

 

 

Gewrichten en gewrichtskapsel.

Carpus, ellebogen, schouder, Tarsus, knie, heupen.

 

 

Lange beenderen.