Ga direct naar de hoofdinhoud
IMAGIN-CT
IMAGIN-CT
Home
CT SCANNER
Voorbeeld beelden
Case van de week
indicaties
info voor doorsturende dierenarts
onderzoeken / Anatomische regio
doorstuur formulier
Contact
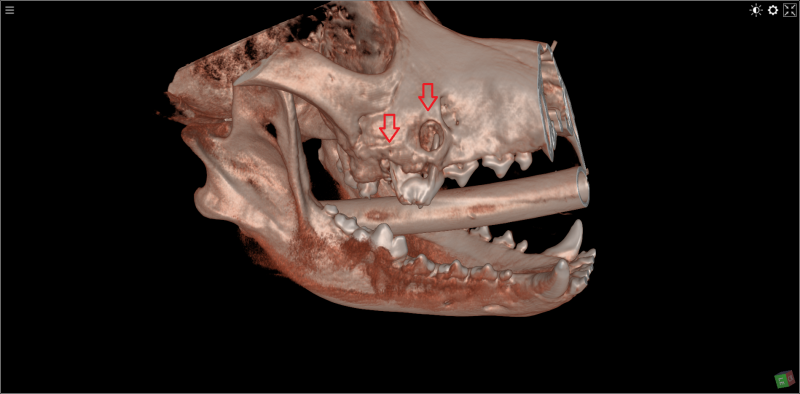
Hulp bij Tandverzorging kat
prijs indicatie
3 D PRINT
Zoeken
IMAGIN Tel 089359800
Ct scanner
Medische beeldvorming huisdieren imaginbv@gmail.com
IMAGIN Tel 089359800
C T scanner
Medische beeldvorming voor huisdieren imaginbv@gmail.com
Voor voorbeelden kijk ook bij
CASE VAN DE WEEK
CASE VAN DE WEEK
hernia tussenwervelschijf
éénzijdige ureter obstructie door stenen